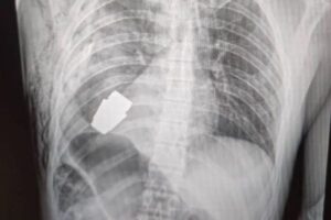
2023 01.14 爆発する可能性のあった手榴弾、医師がウクライナ兵の胸から摘出 国際ニュースまとめ ウクライナの医師が、手術を行い、兵士の胸に入った手榴弾を摘出することに成功した。 Source: Switch News もっと記事を見ていきませんか? セガ、 「タイランドゲームショウ」に初出展 新型コロナを検査できる新しいマスクを開発中:MIT他 タリバンが生放送中に、BBCの女性キャスターの電話に直接かけてきた! 【タイ】水に浸かりながら食べるお店、お客が集まり人気スポットに 意外と怖い…米でハロウィーン屋敷のコンテスト、家の前にさまざまな幽霊が並ぶ イギリスで人間が鳥インフルエンザに感染、非常に稀なケースが報告される Tweet Share Hatena Pocket Post navigation 前の記事 次の記事 関連記事 コストコがトランプ政権提訴 なぜ 台湾当局「中国軍が海峡で模擬攻撃」 外国艦船を追跡… 2026年 タイ祝日・休日カレンダー 朝日新聞社・石合編集委員に韓国のメディア賞 朝鮮通… 本当に“日本版トラスショック”は生じないのか 獲物を狙うサメや人の顔の形をした火山噴火――国際航… タイ、数十年続いた午後の酒販売禁止を一時解除 J.Y.Parkが沖縄に家族旅行→娘2人との動画も… 【Wミリオン】両学長『お金の大学』は、なぜ&…